Brain Imaging Generation with Latent Diffusion Models
Authors
Walter H. L. Pinaya, Petru-Daniel Tudosiu, Jessica Dafflon, Pedro F Da Costa, Virginia Fernandez, Parashkev Nachev, Sebastien Ourselin, and M. Jorge Cardoso
Tags
Synthetic data, Latent Diffusion Model, Generative model, Brain Imaging
Model Description
This model is trained using the Latent Diffusion Model architecture [1] and is used for the synthesis of conditioned 3D brain MRI data. The model is divided into two parts: an autoencoder with a KL-regularisation model that compresses data into a latent space and a diffusion model that learns to generate conditioned synthetic latent representations. This model is conditioned on age, sex, the volume of ventricular cerebrospinal fluid, and brain volume normalised for head size.
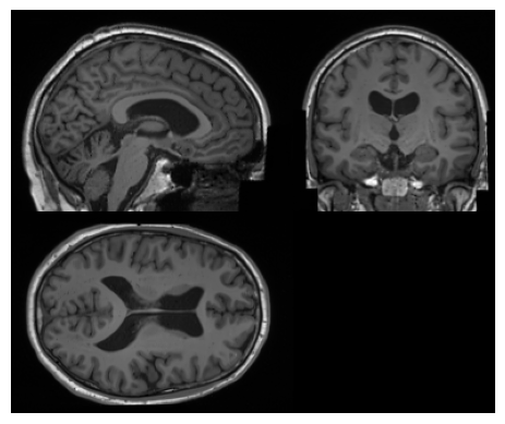
Figure 1 - Synthetic image from the model.
Data
The model was trained on brain data from 31,740 participants from the UK Biobank [2]. We used high-resolution 3D T1w MRI with voxel size of 1mm3, resulting in volumes with 160 x 224 x 160 voxels
Preprocessing
We used UniRes [3] to perform a rigid body registration to a common MNI space for image pre-processing. The voxel intensity was normalised to be between [0, 1].
Performance
This model achieves the following results on UK Biobank: an FID of 0.0076, an MS-SSIM of 0.6555, and a 4-G-R-SSIM of 0.3883.
Please, check Table 1 of the original paper for more details regarding evaluation results.
commands example
Execute sampling:
python -m monai.bundle run --config_file configs/inference.json --gender 1.0 --age 0.7 --ventricular_vol 0.7 --brain_vol 0.5
All conditioning are expected to have values between 0 and 1
Using a new version of the model
If you want to use the checkpoints from a newly fine-tuned model, you need to set parameter load_old to 0 when you run inference, to avoid the function load_old_state_dict being called instead of load_state_dict to be called, currently default, as it is required to load the checkpoint from the original GenerativeModels repository.
python -m monai.bundle run --config_file configs/inference.json --gender 1.0 --age 0.7 --ventricular_vol 0.7 --brain_vol 0.5 --load_old 0
Citation Info
@inproceedings{pinaya2022brain,
title={Brain imaging generation with latent diffusion models},
author={Pinaya, Walter HL and Tudosiu, Petru-Daniel and Dafflon, Jessica and Da Costa, Pedro F and Fernandez, Virginia and Nachev, Parashkev and Ourselin, Sebastien and Cardoso, M Jorge},
booktitle={MICCAI Workshop on Deep Generative Models},
pages={117--126},
year={2022},
organization={Springer}
}
References
Example:
[1] Pinaya, Walter HL, et al. "Brain imaging generation with latent diffusion models." MICCAI Workshop on Deep Generative Models. Springer, Cham, 2022.
[2] Sudlow, Cathie, et al. "UK biobank: an open access resource for identifying the causes of a wide range of complex diseases of middle and old age." PLoS medicine 12.3 (2015): e1001779.
[3] Brudfors, Mikael, et al. "MRI super-resolution using multi-channel total variation." Annual Conference on Medical Image Understanding and Analysis. Springer, Cham, 2018.
